Un estudio ha detectado 40 genes más que están relacionados con esta enfermedad, en total ya ascienden a 101. La conclusión podría aportar nuevas vías en el desarrollo de fármacos.
Un estudio internacional, en el que ha participado el Consejo Superior de Investigaciones Científicas (CSIC), ha identificado 40 nuevos genes vinculados a la aparición de la artritis reumatoide.
Este descubrimiento, publicado en la revista 'Nature', se suma ya a los 101 genes descritos relacionados con esta enfermedad, por lo que, a juicio de los expertos, supone un "enorme avance" en el conocimiento de los mecanismos biológicos que están alterados en estos pacientes.
Para llevar a cabo esta investigación se ha analizado una muestra de más de 100.000 personas en Europa, Asia y Estados Unidos, en cada uno de los cuales se han analizado alrededor de 10 millones de marcadores genéticos.
"Estos descubrimientos nos han permitido crear una base racional de gran potencial en eldesarrollo de nuevos fármacos más, que ayuden a mejorar la calidad de vida de los afectados por la artritis reumatoide", según ha explicado el investigador del CSIC y del Instituto de Parasitología y Biomedicina López Neyra (Granada), Javier Martín.
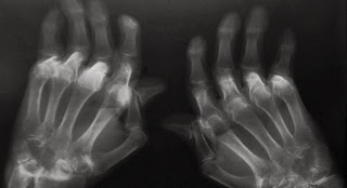
La artritis reumatoide es una enfermedad sistémica autoinmune, crónica, que afecta principalmente a las articulaciones y a las mujeres. Además, esta patología suele aparecer en la edad media de la vida y su prevalencia en la población es cercana al 0,5%.
"Aunque su causa es desconocida, se han identificado factores medioambientales y genéticos involucrados en su desarrollo. La enfermedad representa un gran costo socioeconómico y un impacto adverso en la calidad de vida de los pacientes. A pesar del gran desarrollo alcanzado en los últimos años en su tratamiento, es necesario el descubrimiento de nuevos fármacos más eficaces y específicos", ha zanjado el experto.
http://www.antena3.com/noticias/salud/aumentan-genes-identificados-vinculados-artritis-reumatoide_2013122600162.html

No hay comentarios:
Publicar un comentario